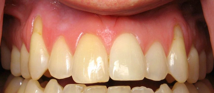
Gum recession is the process in which the margin of the gum tissue that surrounds the teeth wears away, or pulls back, exposing more of the tooth, or the tooth’s root. When gum recession occurs, “pockets,” or gaps, form between the teeth and gum line, making it easy for disease-causing bacteria to build up. If…
